Who is the "culprit" of the novel coronavirus? bat? Pangolin? Recently, researchers in China have given the latest answer: the novel coronavirus (COVID-19 / SARS-CoV-2 )may be produced by the recombination of pangolin coronavirus and bat coronavirus!
Who is the "culprit" of the novel coronavirus? bat? Pangolin?
From the beginning of the outbreak of the
COVID-19 epidemic to now, the cumulative number of confirmed cases in the world is more than 3.83 million, and there is still no exact answer to this question.
Recently, researchers in China have given the latest answer: the novel coronavirus (
COVID-19 / SARS-CoV-2 )may be produced by the recombination of pangolin coronavirus and bat coronavirus!
Local time: May 7, 2020 The research team from the Veterinary College of South China Agricultural University, Guangdong Provincial Laboratory of Lingnan Modern Agricultural Science and Technology (including its Zhaoqing branch), Guangzhou Zoo, the State Key Laboratory of agricultural biotechnology of the school of biology of China Agricultural University and Guangdong wildlife rescue center published the issue of isolation of on-line in the international famous journal Nature Sars-cov-2-related coronavirus from Malayan pangolins.
Whose pot is it?
The intermediate host of novel coronavirus may be bat
During the epidemic, we should not feel unfamiliar with a string of English is undoubtedly the international common name of the novel coronavirus sars-cov-2.
The International Committee on Taxonomy of viruses has been International Committee on Taxonomy of viruses. The
COVID-19 virus that has been raging the world is named SARS-CoV-2 by the International Classification Committee of viruses. The reason is that the relationship between the
COVID-19 virus SARS-CoV-2 and the SARS-CoV virus of many years ago is obviously different between the two, SARS-CoV-2. It has its novelty, but both belong to the same type and are related.
As early as before the outbreak of the
COVID-19, researchers found that the SARS CoV strain of that year was originated from bats.
So following this line of thinking, as a relative of SARS virus, will bat be the culprit of novel coronavirus?
As early as January 23, 2020 local time, Shi Zhengli's team from Wuhan Institute of Virology, Chinese Academy of Sciences, published a paper on biorxiv, a preprint website, pointing out that bat may be the intermediate host of the novel coronavirus.
Specifically, the team obtained the whole genome of sars-cov-2 virus from five patients, and found that the genome of the five patients was basically the same. The whole genome of sars-cov-2 was 96.2% identical with that of bat-cov-ratg13 detected in Rhinolophus sinensis, and 79.5% identical with that of SARS CoV.

After peer review, the paper was published in the journal Nature on February 3, 2020 local time.
The intermediate host of novel coronavirus may be pangolin
However, the charm of science lies in constantly exploring, proposing new discoveries, overthrowing or confirming the previous views.
In February 7, 2020, novel coronavirus pneumonia was studied at South China Agricultural University for a press conference. At the meeting, South China Agricultural University, Guangdong Laboratory of Lingnan Modern Agricultural Science and technology Shen Yongyi, Xiao Lihua and other researchers said pangolin may be a potential intermediate host of the novel coronavirus.
It is understood that the team's conclusion is obtained in four steps:
Firstly, pangolin was identified as a potential intermediate host by analyzing more than 1000 macrogenomic samples;
Secondly, the positive rate of β - coronavirus in pangolin was 70%;
Then, the virus was further isolated and identified;
Finally, through the genome analysis of the virus, we found that the sequence similarity between the isolated virus strain and the current infected human strain is as high as 99%.
After that, the research team led by Guan Yi, a top virologist, once again proved that pangolin is the intermediate host of the novel coronavirus. On February 18, 2020, Guan Yi of Hong Kong University and Hu Yanling of Guangxi
Medical University published the identification of 2019 ncov related coronaviruses in Malaysia pangolins in southern China China (identification of 2019 ncov related coronavirus in pangolin from Malaya, South China).
According to the reports of Lei Feng net (official account: Lei Feng net), researchers analyzed and studied three batches of pangolin samples. 43 samples of 18 frozen pangolin (lung, intestines, blood) samples were seized by anti Customs Smuggling operations in Guangxi in January August 2017, and 19 samples of pangolin (12 pangolin scales) in 5-7 months in 2018 (9 intestinal tissues, 10) were collected from the -2018 network. Lung tissue); 5 filed pangolin samples (2 skin swabs, 1 unknown tissue, 1 scale) seized by Guangzhou Customs Technical Center in March 2019 anti smuggling operation.
The results show that:
The similarity between the genome of pangolin CoV and that of sars-cov-2 was 85.5% - 92.4%;
The similarity of amino acid sequence between sars-cov-2 and pangolin cov receptor binding domain was 97.4%, while that between sars-cov-2 and bat-cov-ratg13 receptor binding domain was only 89.2%;
Pangolin-cov and sars-cov-2 shared amino acids on five key residues in the viral receptor region, while bat-cov-ratg13 shared only one amino acid with sars-cov-2.
Therefore, pangolin is more likely to be an intermediate host of the novel coronavirus than bats.
The novel coronavirus may be produced by recombination of two coronaviruses
Lei Feng learned that in 2003, Guan Yi's team took the lead in isolating SARS virus, confirmed civet cat as its intermediate host and the direct source of human infection with SARS, and then reported it together with academician Zhong Nanshan, which played a key role in the containment of the epidemic at that time.
However, although Professor Guan Yi has made great achievements in the field of Virology, the process of finding the source of novel coronavirus is not over.
Recently, the team led by South China Agricultural University gave a new answer again in the paper.
Specifically, the researchers isolated a coronavirus, pangolin CoV, from 17 of the 25 Malayan pangolin samples
The homology of E, m, N and s genes of pangolin cov with sars-cov-2 was 100%, 98.6%, 97.8% and 90.7%, respectively;
In fact, the receptor binding domain of pangolin cov s protein is the same as that of sars-cov-2, with only one non key amino acid difference.
After peer review, the paper was published in the journal Nature on March 26, 2020 local time.
Based on the above findings, the researchers indicated that sars-cov-2 could come from the reorganization of pangolin CoV and bat-cov-ratg13.
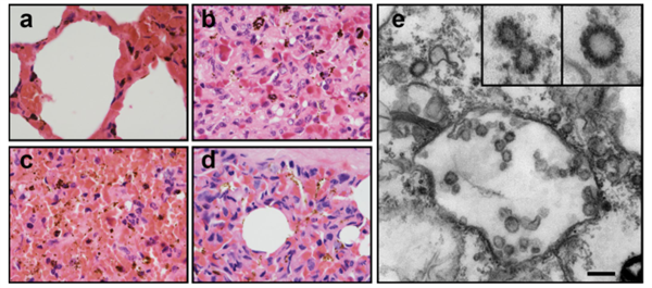
In addition, the researchers showed possible pathological changes in the lungs of pangolin induced by pangolin cov.
As shown in the figure below, part a is negative (healthy state), B, C and D are all infected with pangolin CoV, showing the proliferation and desquamation of alveolar epithelial cells and hemosiderin pigment, in which C has serious capillary congestion. In addition, e is the transmission electron microscope image of double membrane vesicles in lung tissue, and coronavirus can be seen clearly in the upper right corner.
In fact, the paper also explicitly mentions:
Pangolin is the most frequently trafficked mammal. If the wildlife trade is not effectively controlled, its coronavirus may pose a threat to public health in the future.
Although this conclusion may not be the final answer, it also provides a new way to find the source of novel coronavirus. We look forward to the "truth" coming to the surface as soon as possible and the epidemic ending as soon as possible.